Fallbeispiel 13
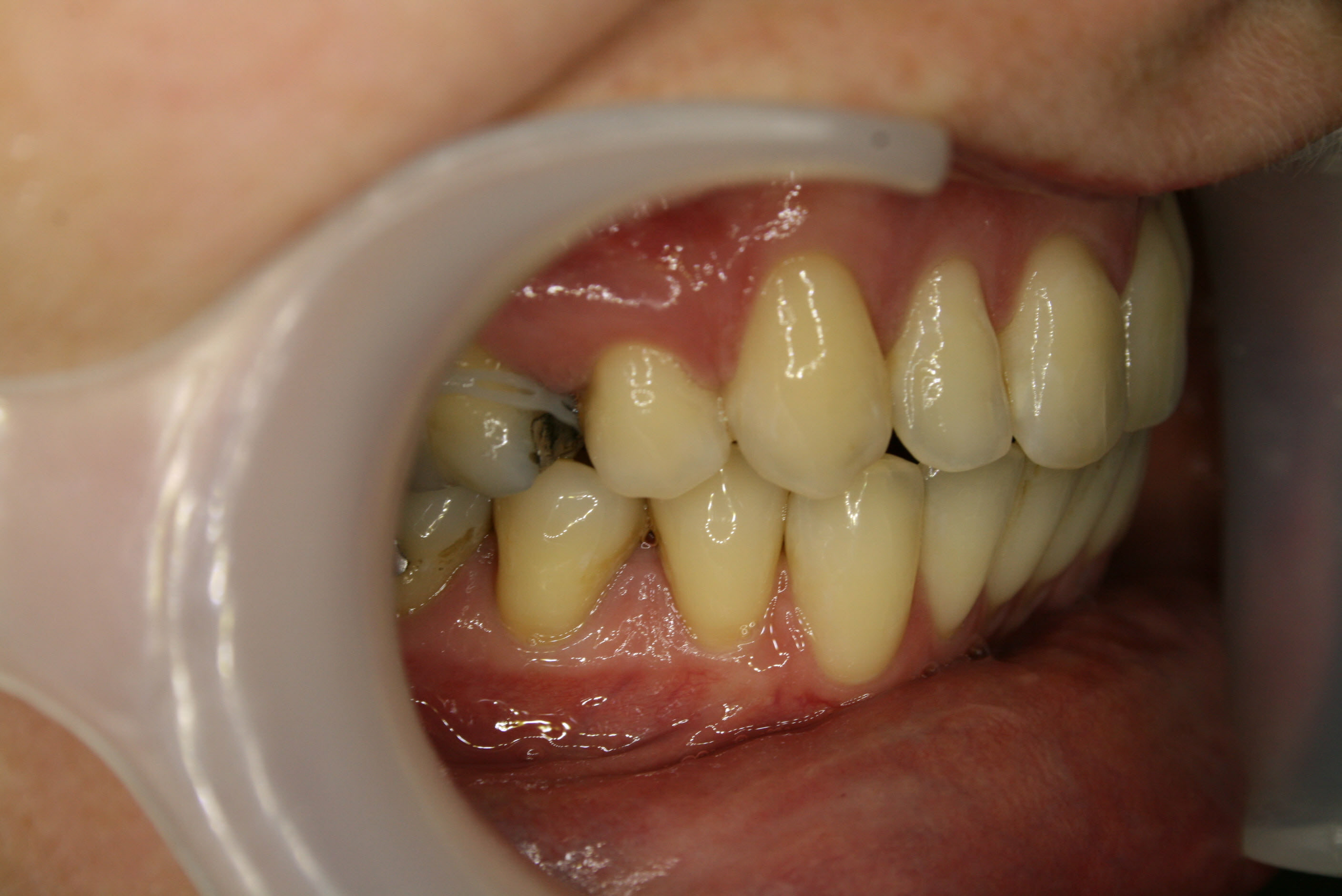
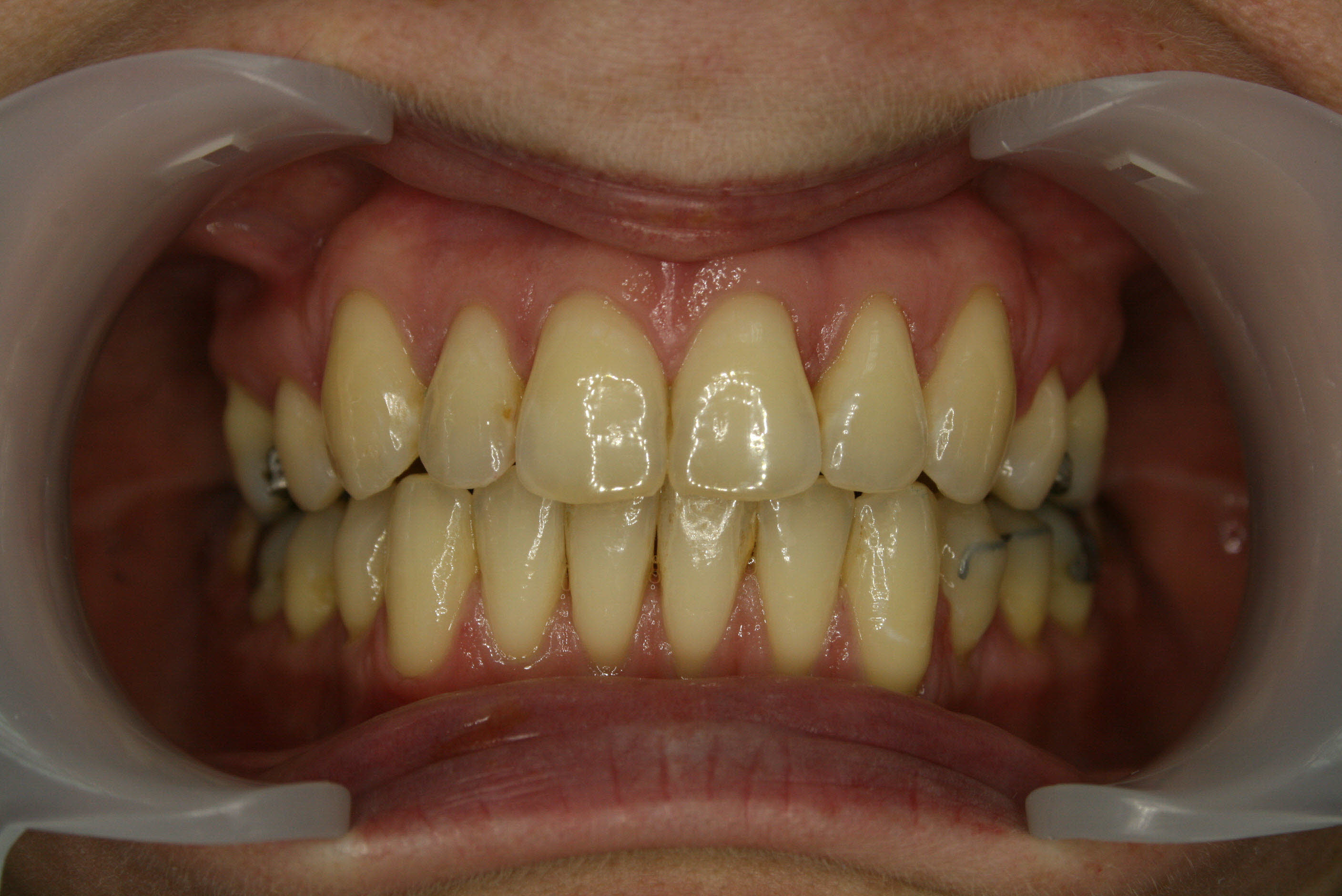
Bei dieser Patientin standen die oberen Schneidezähne so weit vor, daß sie auf der Unterlippe aufstanden, und der Mund nicht richtig geschlossen werden konnte. Zu der Fehlstellung trugen sowohl die stark nach vorne gekippten oberen Schneidezähne, als auch der zu kurze, zurückliegende Unterkiefer bei. Die Patientin litt sehr unter ihrer Fehlstellung, hatte aber zu große Bedenken, sich den Unterkiefer chirurgisch nach vorne setzen zu lassen. Um obere und untere Schneidezähne dennoch in Kontakt zu bringen, wurden im Oberkiefer zwei kleine Backenzähne entfernt. Die entstandenen Lücken wurden dazu genutzt, die oberen Frontzähne zurückzuziehen. Dabei mußte besonderes Augenmerk auf die folgenden Punkte gerichtet werden:
• Kontrolle der Achsenstellung der oberen Schneidezähne
• Kontrolle des vertikalen Überbisses
• Sicherung einer guten Verschlüsselung der Seitenzähne. Dies ist von besonderer Bedeutung imHinblick auf die Kaufunktion und auf die Langzeitstabilität des erreichten Ergebnisses.
Die Entfernung zweier gesunder Zähne ist immer eine schwerwiegende, unangenehme Entscheidung für alle Beteiligten. Sie ist letztlich so zu rechtfertigen, daß die entfernten Zähne einem höheren Gut (harmonische Zahnbögen in stabiler, funktioneller Verzahnung) geopfert werden. Bei einem jugendlichen Patienten erhöht die Verkürzung der Zahnreihe durch die Zahnentfernungen darüberhinaus die Durchbruchschance der Weisheitszähne in dem betreffenden Kiefer; andernfalls müßten diese möglicherweise später entfernt werden.
Man nennt eine solche Vorgehensweise auch „Camouflage-Behandlung", weil man die zugrundeliegende Abweichung der Kieferstellung unkorrigiert läßt und diese lediglich durch reine Zahnverschiebungen so weit wie möglich auszugleichen, kaschieren oder camouflieren versucht.
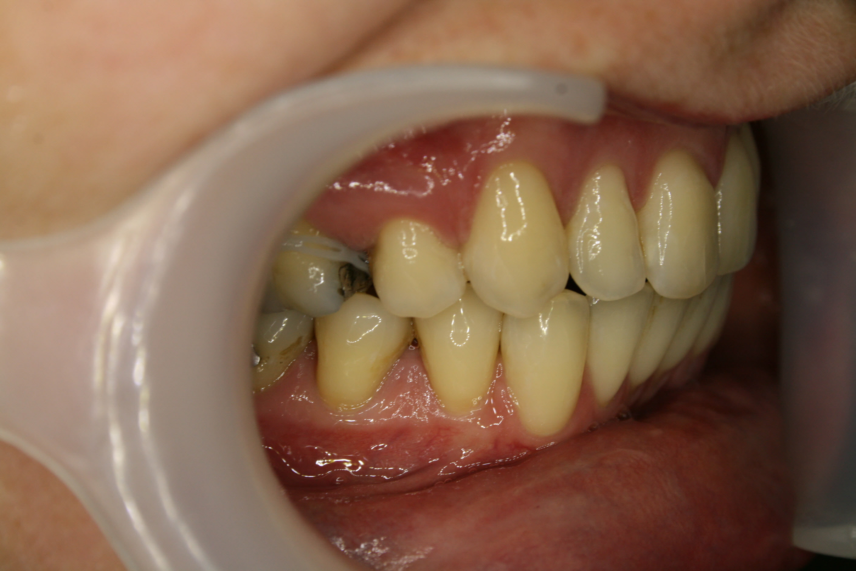
Vor der Behandlung
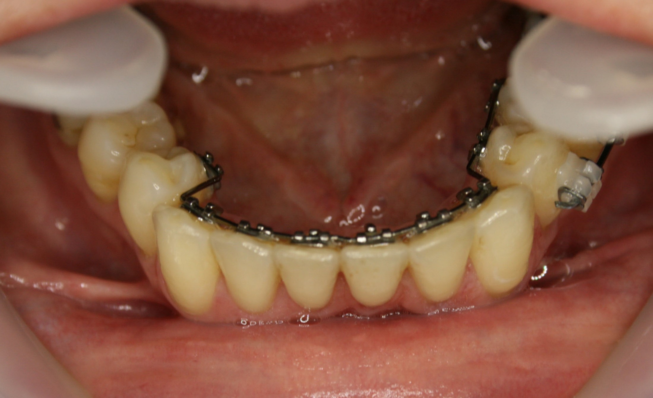
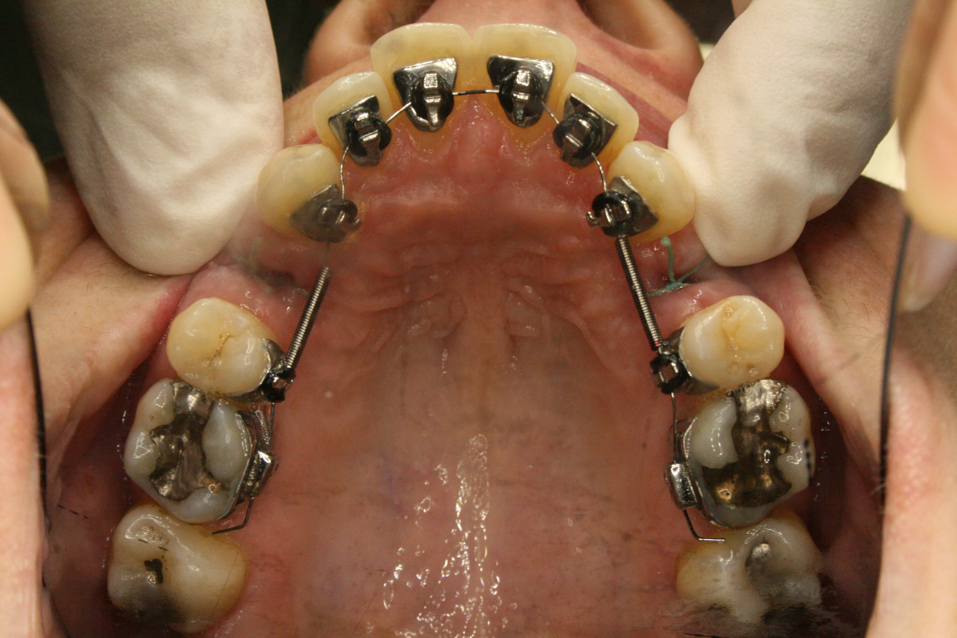
Während der Behandlung
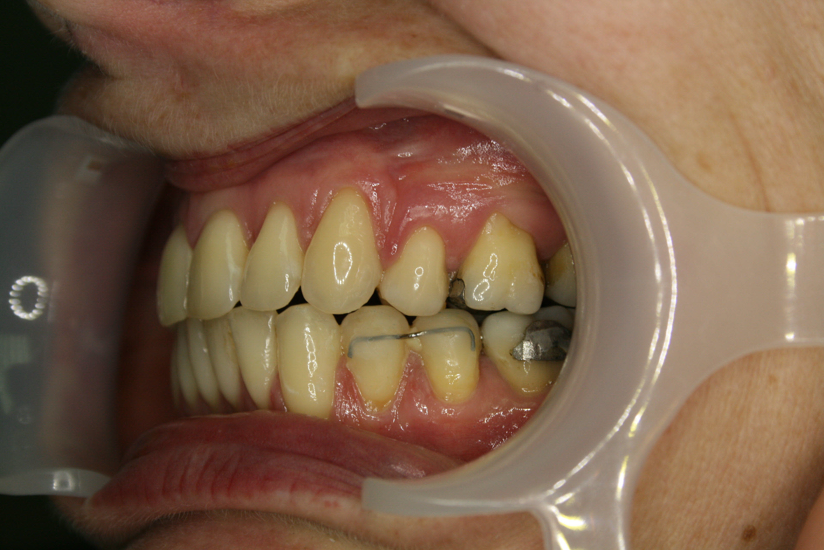
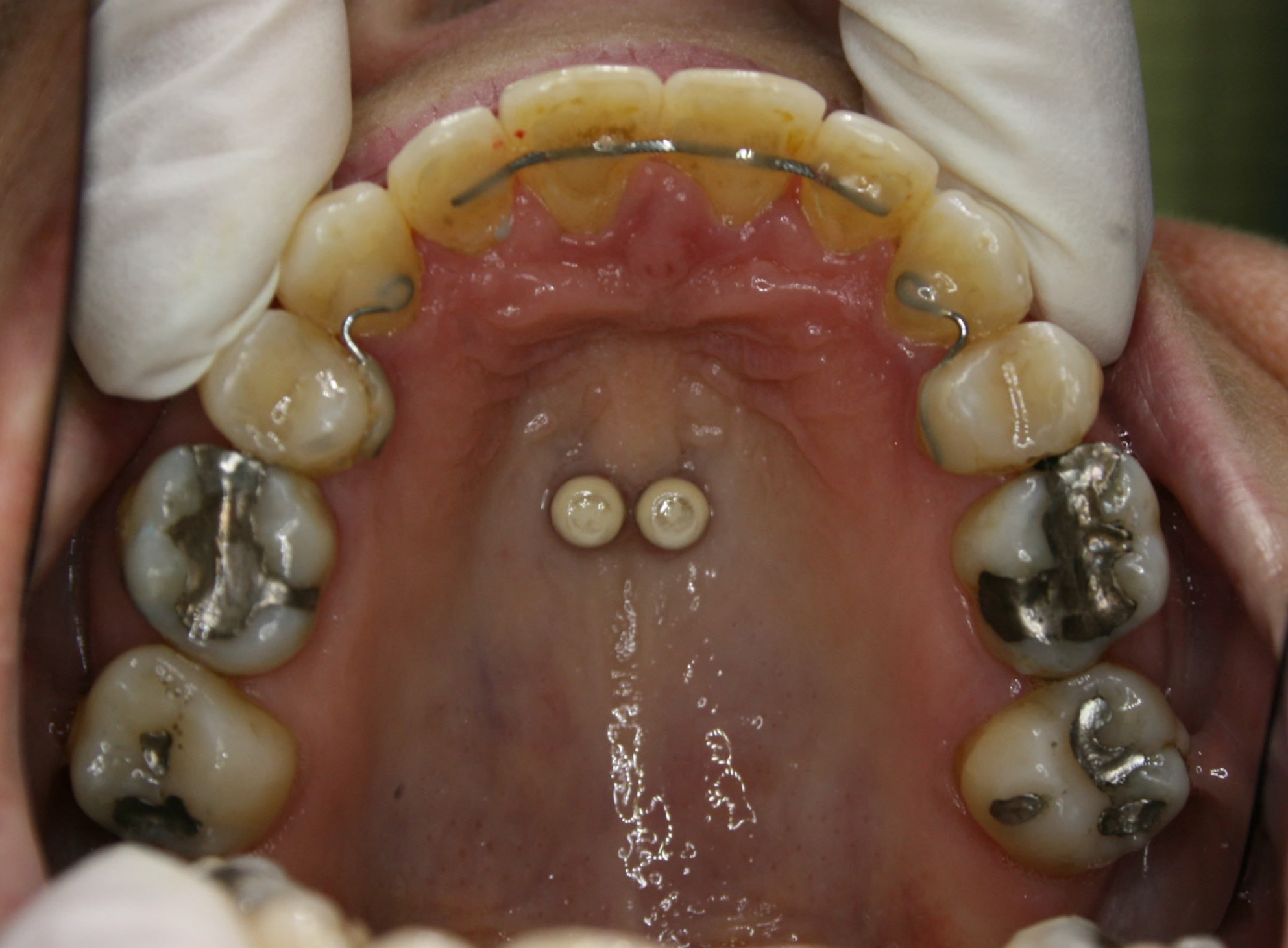
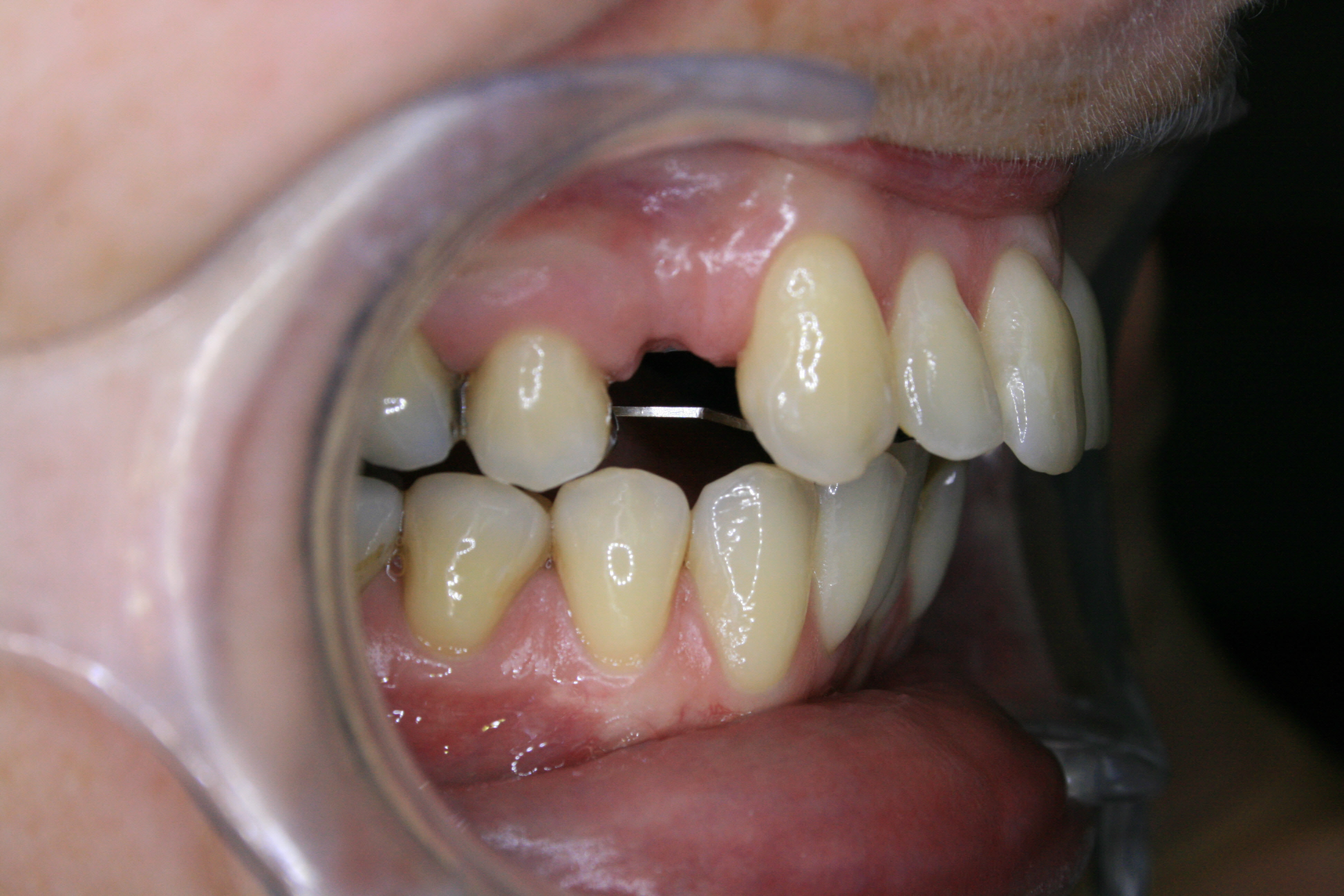
Die ersten kleinen Backenzähne sind bereits entfernt und die festsitzende Zahnspange ist eingesetzt, in diesem Falle quasi unsichtbar auf der Innenseite der oberen Schneidezähne. Es ist wesentlich, daß die Lücken nur von vorne her geschlossen werden. Dies wurde sichergestellt, indem die Zähne hinter den Lücken über temporäre kleine Implantate am Gaumendach verankert wurden. In der Bildsequenz ist der Behandlungsfortschritt zu erkennen; der Lückenschluß war nach 1½ Jahren erreicht.
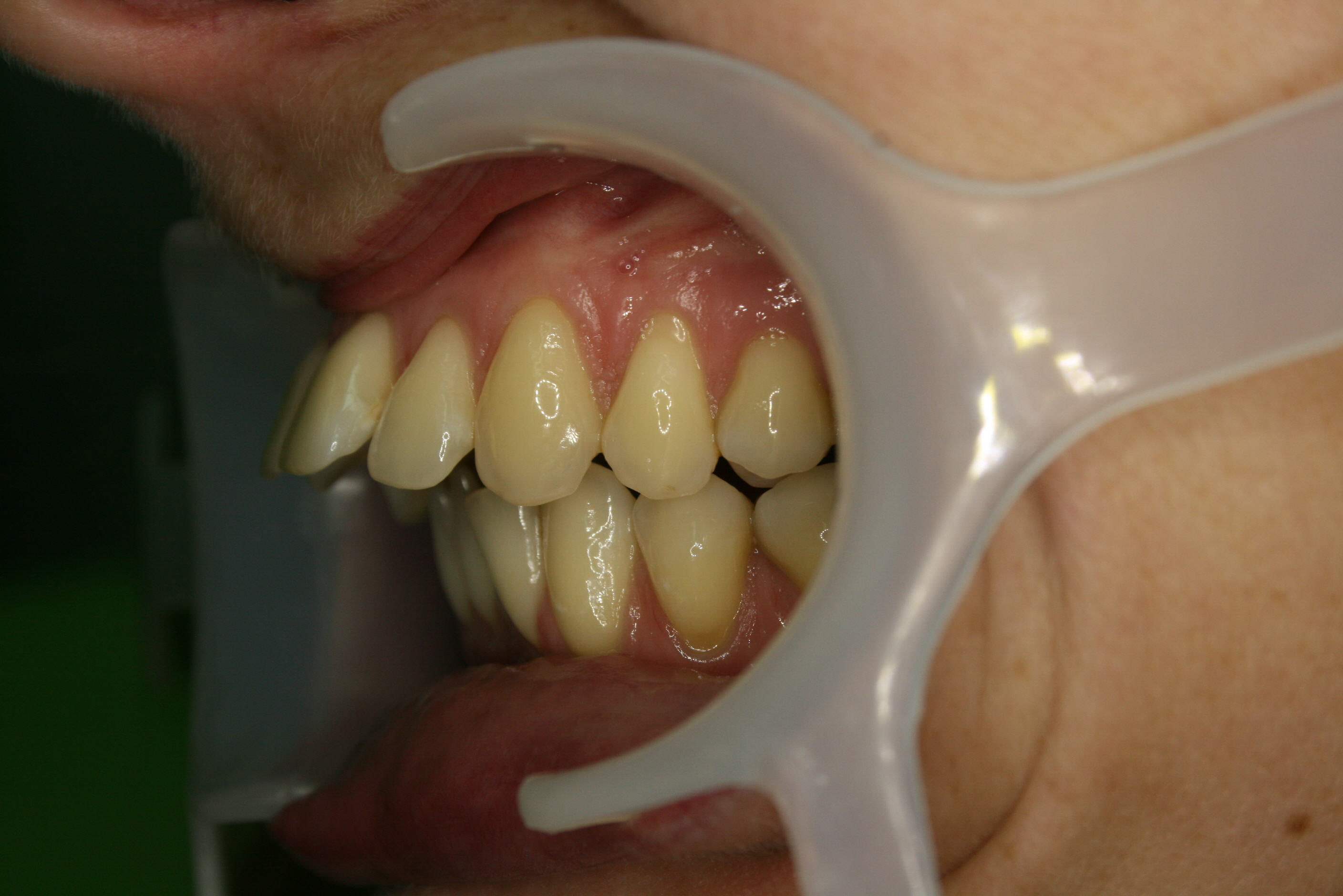
Lückenschluß in der Seitenansicht; hier ist gut zu erkennen, daß es gelungen war, den Lückenschluß von vorne her und achsengerecht auszuführen.
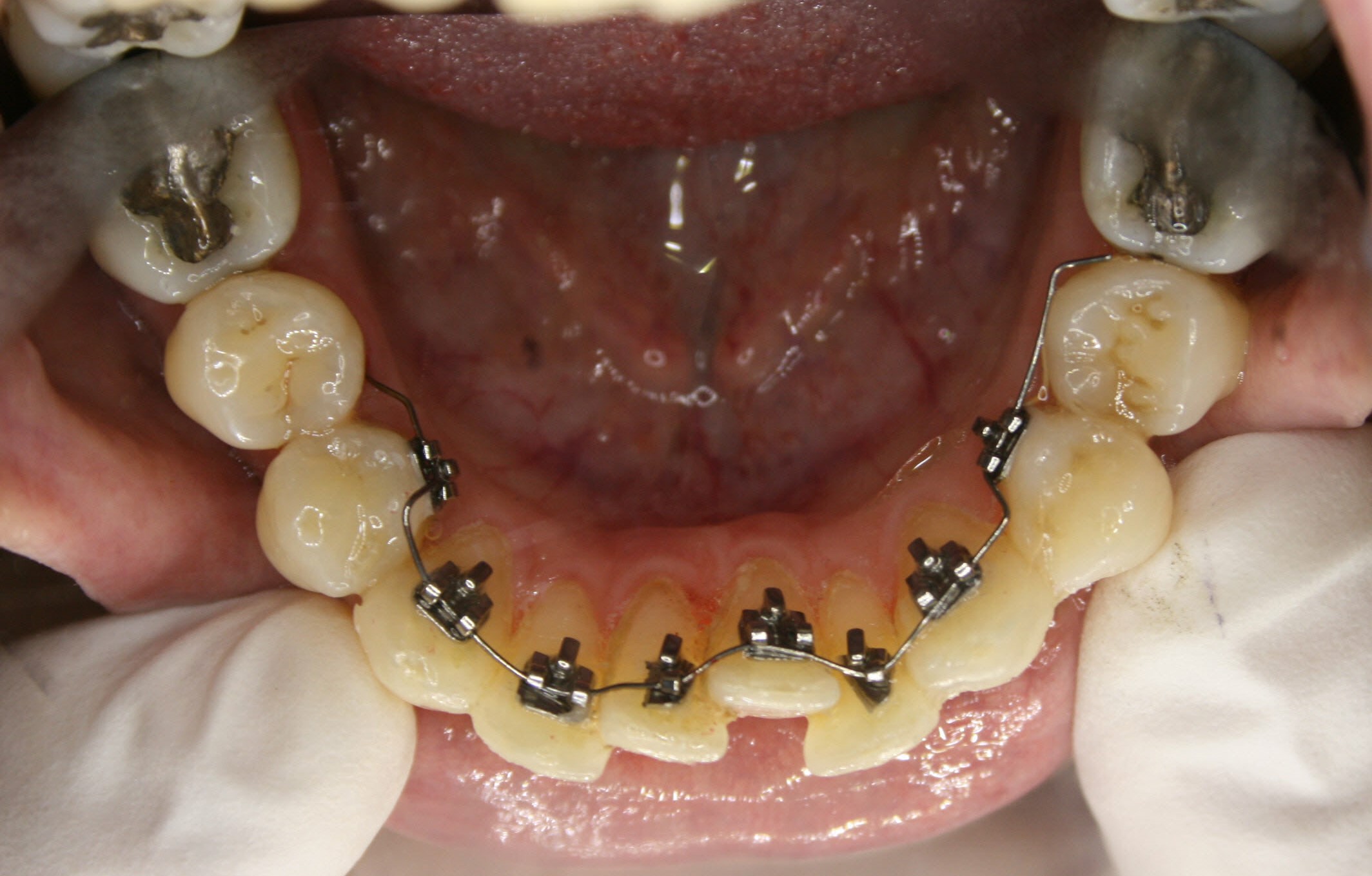
Im Unterkiefer kam auch eine auf der Innenseite der Zähne befestigte Zahnspange zum Einsatz; da es keine Lückenschlußaufgabe zu bewältigen gab, konnte ein einfacheres System verwendet werden. Es ist angenehmer für die Zunge, weil es flacher ist als das aufwendigere System im Oberkiefer. Siehe hierzu auch die Ausführungen im Abschnitt „Behandlungsmethoden – Welche Arten von Zahnspangen gibt es". Die Ausformung des Unterkiefers war nach einem Jahr und 2 Monaten abgeschlossen.
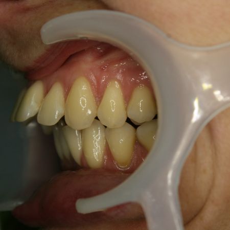
Nach der Behandlung
Veränderung des Lächelns
Die Normalisierung der Achsenstellung der oberen Schneidezähne erlaubte einen entspannten Lippenschluß und ein ansprechenderes Erscheinungsbild der oberen Zahnreihe beim Lächeln.
Profilvergleich
Die Oberlippe ist nicht mehr so stark vorgeschürzt, der Winkel zwischen Nasensteg und Oberlippe hat sich allerdings vergrößert, was ästhetisch weniger ansprechend ist; dies hätte nur durch eine chirurgische Vorverlagerung des Unterkiefers vermieden werden können. Siehe hierzu auch Fallbeispiel 9.
