Fallbeispiel 9
Im diesem Beispiel wird eine erwachsene Patientin vorgestellt, bei der nach kieferorthopädischer Vorbehandlung der Unterkiefer chirurgisch vorverlagert wurde. Eine Beseitigung der Stufe in Verbindung mit einer Entfernung zweier kleiner oberer Backenzähne ohne Chirurgie wie im Fallbeispiel 1 schied aus, weil diese Extraktionen im Rahmen einer früheren Behandlung, die andernorts durchgeführt worden war, schon vorgenommen waren.
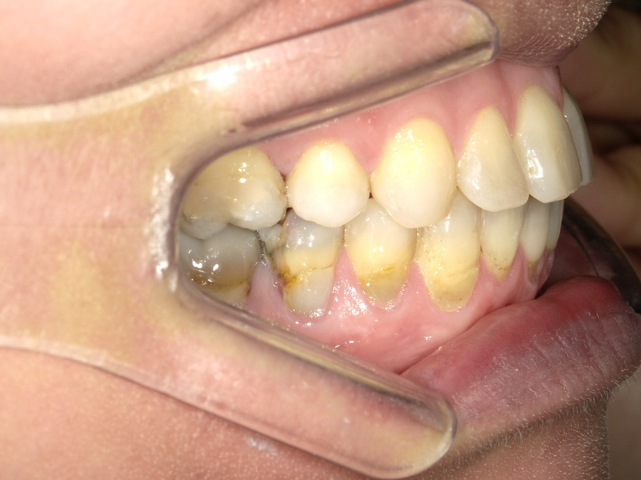
Vor der Behandlung
Während der Behandlung
Links Zustand beim Einsetzen der festen Zahnspange, rechts Situation unmittelbar nach der Operation (nach 2 Jahren, 4 Monaten). Der Unterkiefer wurde chirurgisch vorgesetzt und dadurch die Zahnreihen besser in Kontakt gebracht. Die Operation wurde an der Uniklinik Homburg durchgeführt. Eine Feineinstellung der Verzahnung ist aber im Laufe der kieferorthopädischen Nachbehandlung noch erforderlich.
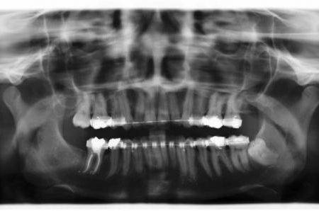
Röntgenbefunde
Links Röntgenbefund vor der Behandlung, rechts Zustand während der Behandlung. Die Lücke im Unterkiefer rechts (linke Seite auf dem Röntgenbild) wurde durch Vorbewegen und Aufrichten des endständigen (wurzelgefüllten) Backenzahnes geschlossen. Prothetische Maßnahmen wurden dadurch überflüssig, außerdem verbesserten sich die Verhältnisse für den Zahnhalteapparat dieses Zahnes deutlich. Der Weisheitszahn im Unterkiefer links wurde vor der chirurgischen Vorverlagerung des Unterkiefers entfernt, um eine ungünstige Trennung der Knochenfragmente zu vermeiden.
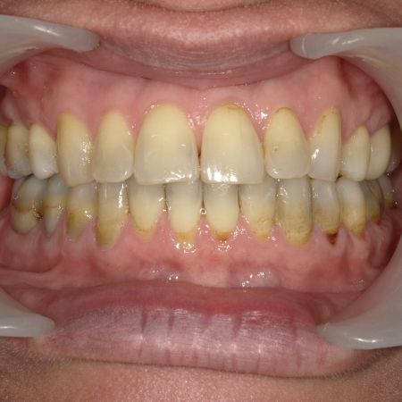
Ende der aktiven Behandlungsphase (nach weiteren 6 Monaten)
Profilfotos vorher-nachher im direkten Vergleich
Sehr gute Stabilität nach 16 Jahren
