Fallbeispiel 12
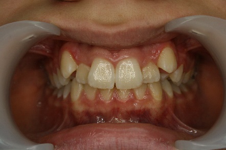
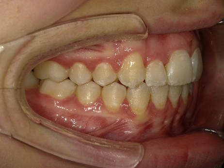
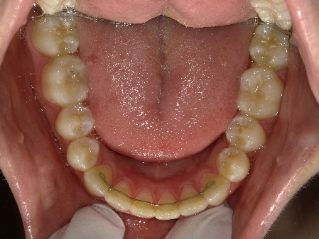
Starker Platzmangel für die oberen Frontzähne, Schneidezähne in Schachtelstellung und Eckzähne im Hoch- und Außenstand prägten die Fehlstellung bei dieser Patientin. Im Seitenzahngebiet standen die unteren Zähne beidseits um die Breite eines kleinen Backenzahns (d.h. 7-8 mm) zu weit hinten.
Anders als im Fallbeispiel 1 wurden trotz des Platzmangels keine Zähne im Oberkiefer entfernt; der Zahnbogen wurde stattdessen nach vorne entfaltet und der Unterkiefer mit einer speziellen, festsitzenden Vorschubmechanik (Mara) nach vorne nachgeführt, um den Biß richtig einzustellen.
Vor der Behandlung
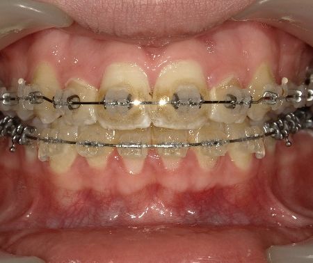
Während der Behandlung
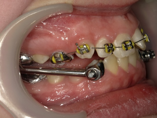
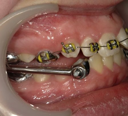
Zu Beginn wurde die Vorschubmechanik, kombiniert mit Brackets im Oberkiefer eingesetzt.
Es stehen auch andere festsitzende Unterkiefer-Vorschubmechaniken zur Verfügung, z.B. ein Herbstscharnier, hier bei einem anderen Patienten:
Hierbei wird der Unterkiefer mit starren Geschieben in die gewünschte Position gebracht. Oberer und unterer Zahnbogen sind über die Geschiebe fest miteinander verbunden.
Das Funktionsprinzip der Mara-Apparatur (Mara steht für „Mandibular advancement repositioning appliance", das bedeutet „Unterkiefer-Vorschubapparatur") ist ein anderes; die folgende Animation der Firma Ormco illustriert es:
https://www.youtube.com/watch?v=hAb_eHRVFOA
Der Unterkiefer muß um die Vorschubstäbchen im Oberkiefer herumgeführt werden, damit das Zubeißen möglich wird. Das Kausystem paßt sich allmählich an und im Laufe mehrerer Monate stellt sich der Biß um. Die Kiefer bleiben getrennt. Die Patienten kommen besser mit dieser Konstruktion zurecht, und Defekte sind seltener. Wir verwenden mittlerweile eine 3D-gedruckte Variante, die graziler und aus einem Stück gearbeitet ist. Die Abbildung zeigt einen Screenshot aus dem Herstellungsprozeß und die fertige Apparatur auf einem Modell.
Es sind die gleichen Funktionselemente wie in der Animation zu erkennen, aber es ist alles kleiner, runder und glatter und daher angenehmer im Mund. Die Geräte werden von der Firma Ortholize im Lasermelting-Verfahren hergestellt:
https://www.ortholize.de/kfo-produkte/uva-mara
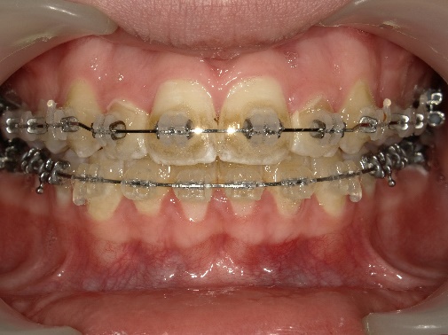
Bei unserer Patientin hat die Bracketspange im Oberkiefer die Zähne in die richtige Position gebracht, während die Vorschubmechanik den Unterkiefer passend dazu eingestellt hat. Zur Feineinstellung der Verzahnung wurde zeitversetzt auch im Unterkiefer einer Bracketspange eingesetzt.
Die Aufnahmen zeigen den Befund gut ein Jahr nach Behandlungsbeginn.
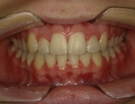
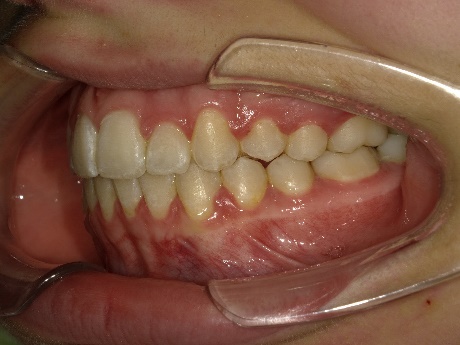
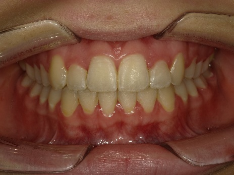
Nach der Behandlung
Nach 1½ Jahren konnte das gesteckte Behandlungsziel erreicht werden; die Zahnbögen waren harmonisch ausgeformt und paßten gut aufeinander. Der Behandlungserfolg stellte sich auch deshalb relativ rasch ein, weil durch die Unterkiefervorschubmechanik nicht nur der Unterkiefer nach vorne verlagert, sondern im Gegenzug auch die oberen Seitenzähne etwas nach hinten geschoben wurden. Durch den so gewonnenen Platz wurde es leichter, die eng stehenden oberen Frontzähne auszurichten. Man muß einräumen, daß der Effekt auf die oberen Seitenzähne beim Herbst-Scharnier noch stärker ausgeprägt ist.
Mundfotos im Vergleich




