Fallbeispiel 11
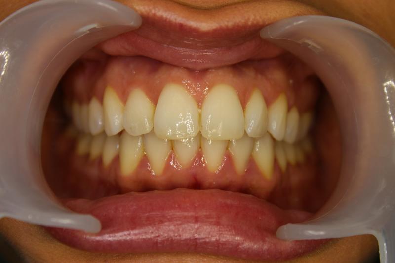
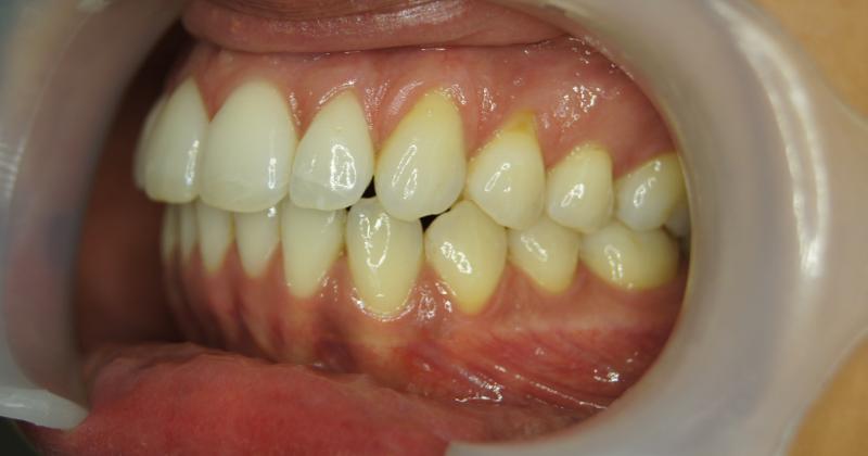
Wie so vieles, lief auch die kieferorthopädische Behandlung bei den Zwillingsschwestern Lisa und Laura quasi synchron ab. Da Ausgangsbefund und Verlauf sich so sehr ähnelten, wurden die Behandlungen zu einem Beispiel zusammengefaßt. Bei beiden Schwestern galt es, Frontengstände in beiden Kiefern bei sonst guten Verzahnungverhältnissen zu korrigieren. Die Bildersequenzen lassen zumindest auf den zweiten Blick erkennen, daß bei Laura die Abweichung doch etwas schwerwiegender war: das betraf in erster Linie die gedreht und gekippt stehenden oberen Eckzähne. Dies ist ein Befund, bei dem Alignersysteme an ihre Grenzen stoßen können. Auch mit der Lingualapparatur ist diese Stellungsabweichung etwas schwerer zu beherrschen, was sich in der längeren Verweildauer der Lingualspange bei Laura im Vergleich zu Lisa niederschlug.
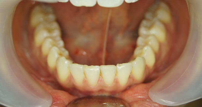
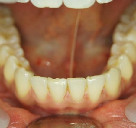
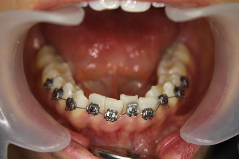
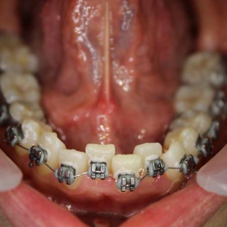
Im Unterkiefer wählten die Schwestern eine außen auf den Zähnen plazierte, konventionelle festsitzende Zahnspange, um den Aufwand überschaubarer zu halten. Bei beiden waren die unteren Frontzähne deutlich weniger sichtbar als die oberen, was diese Entscheidung rechtfertigte.
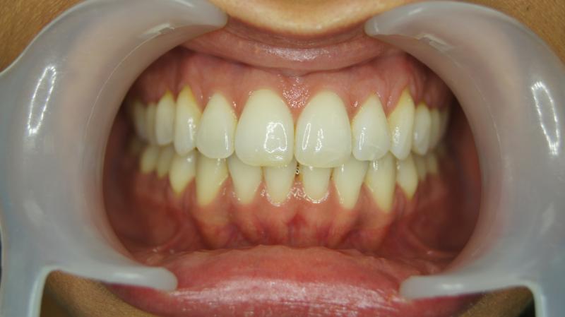
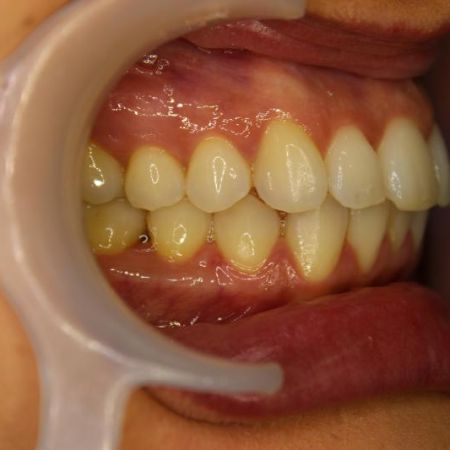
Lisa vor der Behandlung
Ausgangsbefund am 17.02.2016
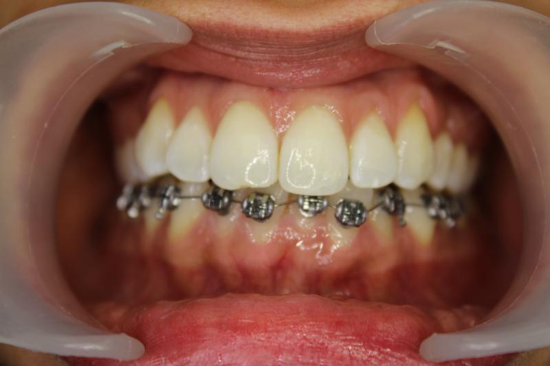
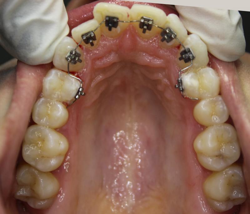
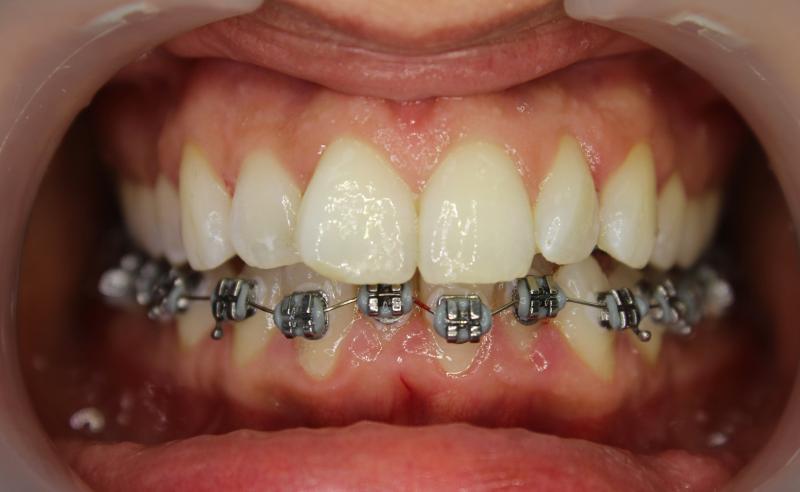
Eingliederung der Spangen am 29.04.2016
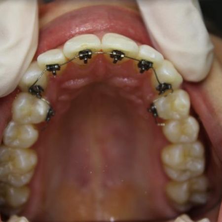
Entfernen der Spangen am 17.01.2017
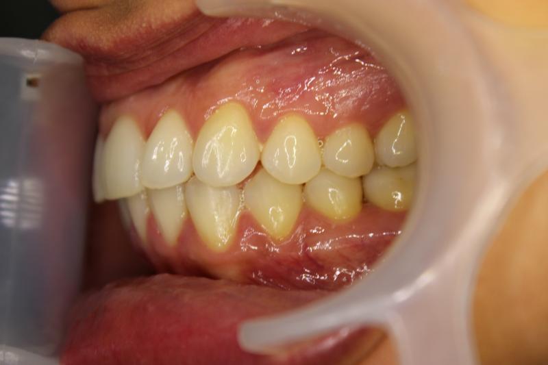
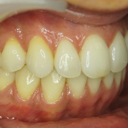
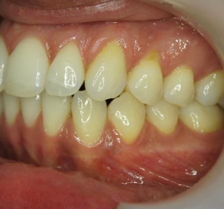
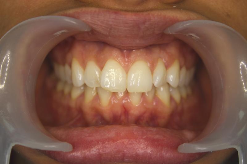
Laura vor der Behandlung
Ausgangsbefund am 17.02.2016
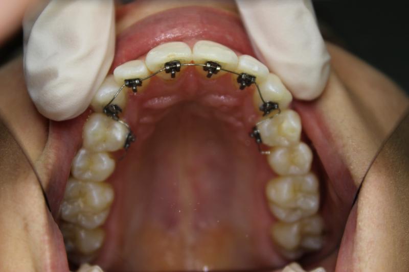
Eingliederung der Spangen am 29.04.2016
Entfernung der Spange im Unterkierfer am 26.03.2017
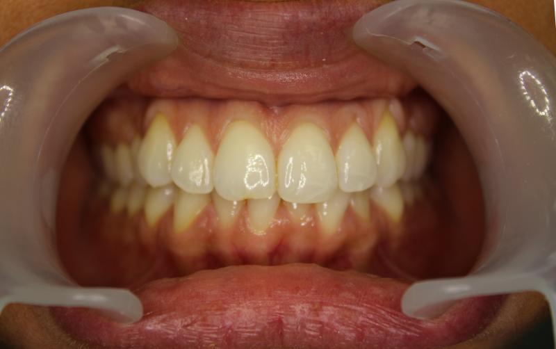
Entfernen der Spange im Oberkiefer am 26.09.2017
