Fallbeispiel 10
Auch diese Patientin wurde kombiniert kieferorthopädisch-chirurgisch behandelt, in diesem Fall wegen eines zu weit vorstehenden Unterkiefers und eines frontoffenen Bisses. Die Abweichungen waren zu stark, als daß man allein durch Zahnverschiebungen ein zufriedenstellendes Ergebnis hätte erzielen können. Die Zahnbögen wurden vor der Operation mit festen Zahnspangen ausgeformt und auf die Zielverzahnung hin angepaßt. Bei der Operation (durchgeführt an der Uniklinik Homburg) wurde der Unterkiefer zurückgesetzt und der Oberkiefer im hinteren Teil etwas nach oben. So konnte die Lagebeziehung der Kiefer sowohl horizontal, als auch vertikal harmonisiert werden.
Vor der Behandlung
Während der Behandlung
Linkes Bild kurz vor, rechtes Bild kurz nach der Operation. Häufig ist noch eine weitere Anpassung der Zahnbögen und eine Feineinstellung der Verzahnung notwendig. In der Regel müssen die Patienten zwischen den Zahnreihen kleine Gummiringe einhängen, um die Kiefer in der gewünschten Position zu halten.
Nach der aktiven Behandlung
(Dauer: 1 Jahr, 11 Monate)
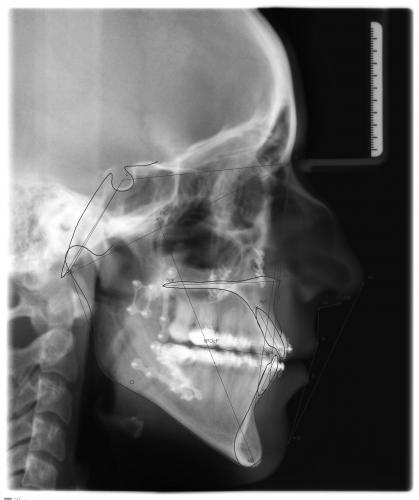
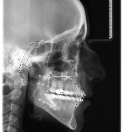
Röntgenbefund
Zu Behandlungsbeginn und nach der Operation
Die Verlagerung der Kieferbasen, v.a. im Unterkiefer, ist deutlich zu erkennen. Ferner sieht man auf dem rechten Bild die Metallplatten aus Titan, die die Knochenfragmente während der Heilungsphase in der gewünschten Position zusammenhalten. So wird frühzeitig sichergestellt, daß der Patient wieder normal kauen kann. Die Metallplatten können nach ca. 6 Monaten in einem Zweiteingriff entfernt werden.
Profil- und En-face-Fotos im Vergleich
Vorher - Nachher
