Fallbeispiel 8
In diesem Beispiel wurden bei nicht angelegten seitlichen oberen Schneidezähnen die Lücken geöffnet und später künstliche Zahnwurzeln aus Titan mit aufgesetzten keramikverblendeten Kronen (sog. Zahnimplantate) eingesetzt.
Vor der Behandlung
Ein oberer Eckzahn war zu einem früheren Zeitpunkt vom Hauszahnarzt verbreitert worden, um eine besonders auffallende Lücke zu schließen. Die Situation war aber wegen der Seitenungleichheit, der atypischen Zahnformen und der noch vorhandenen Lücken immer noch unbefriedigend.
Während der Behandlung
Die Backenzähne wurden mit einer im Gaumenbereich angebrachten, festsitzenden Apparatur zunächst nach hinten bewegt, bis die Verzahnung richtig eingestellt war. Dies war nach ca. 1 Jahr erreicht. Anschließend wurde die Bracketspange eingesetzt. Der Aufbau des rechten Eckzahns wurde entfernt, die Lücken mit über den umlaufenden Drahtbogen gestreiften Spiralfedern geöffnet und dabei auch die obere Zahnbogenmitte eingestellt (linkes Bild). Die feste Zahnspange wurde nach 1 Jahr und 4 Monaten zunächst durch eine abnehmare Spange mit Prothesenzähnen zum Ersatz der fehlenden Schneidezähne ersetzt (rechtes Bild).
Nach Einsetzen der Implantate
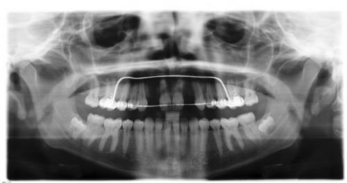
Röntgenbefund
Vor und nach der Implantation
Vor Entfernen der festen Zahnspange mußte sichergestellt sein, daß die Lücken für die Zahnimplantate ausreichend breit und auch die Wurzeln der die Lücke begrenzenden Zähne ausreichend parallel waren (linkes Bild). Rechts die Situation nach Einsetzen der endgültigen Versorgung.
Mundfotos im Vergleich


