Fallbeispiel 6
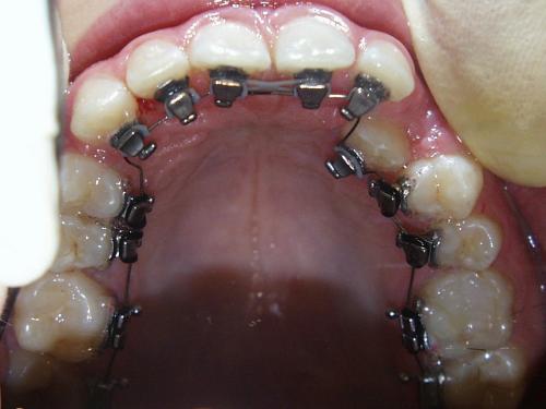
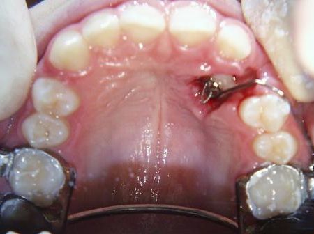
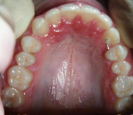
Fallbeispiel 6 zeigt die Einordnung eines gaumenwärts verlagerten linken oberen Eckzahns mittels Lingualapparatur nach chirurgischer Freilegung.
Verlauf:
Bild 1: Beginn - Bild 2: nach 6 Monaten - Bild 3: nach 1 Jahr und 9 Monaten
Fallbeispiel 6 zeigt die Einordnung eines gaumenwärts verlagerten linken oberen Eckzahns mittels Lingualapparatur nach chirurgischer Freilegung.
Verlauf:
Bild 1: Beginn - Bild 2: nach 6 Monaten - Bild 3: nach 1 Jahr und 9 Monaten