Fallbeispiel 5
Seitenungleiche Verzahnung und Engstand vorwiegend im Bereich des oberen linken Eckzahns sprachen bei diesem (erwachsenen) Patienten dafür, den ersten kleinen Backenzahn im Oberkiefer links zu entfernen. Der Eckzahn konnte so in die durch die Zahnentfernung entstandene Lücke hineinbewegt werden. Der Restlückenschluß mußte aus Gründen der Verzahnung möglichst von vorne her erfolgen. Die hierzu nötigen Zugkräfte wurden an vorübergehend eingesetzten, kleinen Titanschräubchen verankert, die unverrückbar im Kieferknochen sitzen. Die Kombination dieser Miniimplantate mit einer auf der Innenseite der Zähne sitzenden festen Zahnspange, einer so genannten Lingualapparatur, ist eine elegante, den Patienten relativ wenig belastende Behandlungsmethode, die technisch allerdings auch besonders aufwendig und anspruchsvoll ist.
Vor der Behandlung
Während der Behandlung
Bild 1: Einsetzen der Lingualapparatur; der kleine Backenzahn ist bereits entfernt.
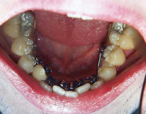
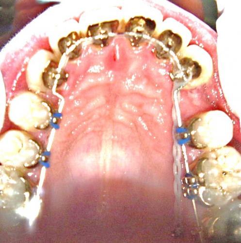
Bild 2: Der Zahnbogen ist schon weiter ausgeformt, die Miniimplantate sind plaziert und der Lückenschluß wird eingeleitet.
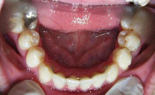
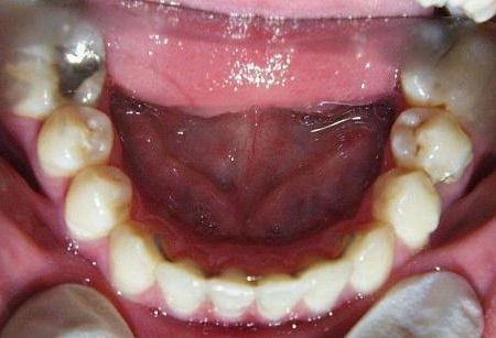
Bild 3: Der Unterkiefer wird erst mit zeiticher Verzögerung mit einbezogen, da die Behandlungsaufabe dort überschaubarer ist.
Nach der Behandlung
(Dauer der aktiven Behandlung: 1 Jahr, 11 Monate)
Eine langjährige Stabilisierung der Frontzähne mittels eines Kleberetainers ist unverzichtbar. Die Miniimplantate sind auf dem Foto unten links noch sichtbar; sie können bald nach dem Abnehmen der festen Zahnspange in einem kleinen chirurgischen Eingriff ebenfalls entfernt werden.
