Fallbeispiel 4
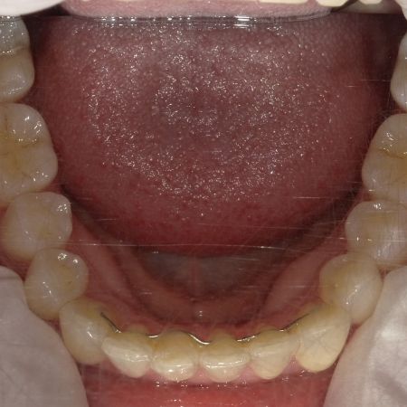
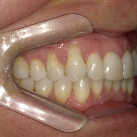
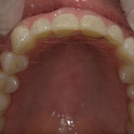
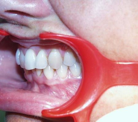
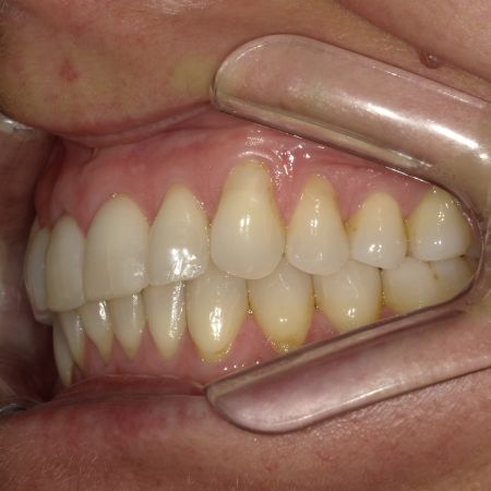
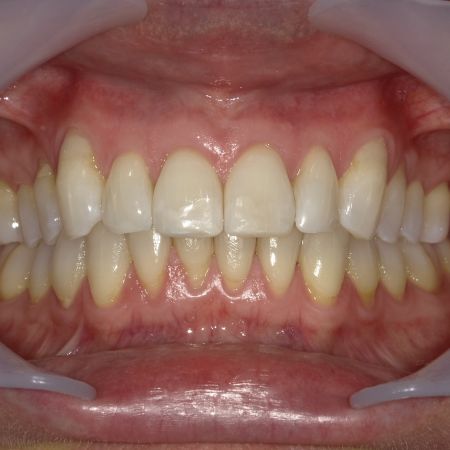
Fallbeispiel 4 zeigt einen häufigen Befund bei erwachsenen Patienten: Die Stellung der Schneidezähne hat sich in beiden Zahnbögen im Laufe der Jahre erkennbar verschlechtert, und die Patienten fühlen sich dadurch zunehmend beeinträchtigt. Die in diesem Beispiel nur geringgradigen Abweichungen im Oberkiefer ließen sich mit nahezu unsichtbaren, herausnehmbaren Alignerschienen behandeln, während die Korrektur der stärkeren Schachtelstellung der unteren Frontzähne eine festsitzende Zahnspange erforderte. Auch hier ist nach der Korrektur die Verwendung innenliegender aufgeklebter Stabilisierungsdrähte über viele Jahre hinweg ratsam.
Vor der Behandlung
Während der Behandlung
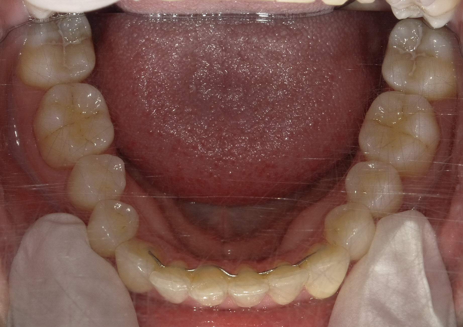
Nach der Behandlung
(Dauer der aktiven Behandlung: Im Oberkiefer 7 Monate, im Unterkiefer 1 Jahr, 4 Monate)
Sehr gute Stabilität nach 12 Jahren

