Fallbeispiel 3
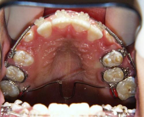
Beim nächsten Fallbeispiel war der Oberkiefer deutlich zu schmal im Verhältnis zum Unterkiefer, der Biß war frontoffen und die oberen Schneidezähne standen sehr unregelmäßig bei einer auffallenden Mittenverschiebung nach links.
Vor der Behandlung
Während der Behandlung
Zunächst wurde der obere Zahnbogen geweitet und mit dem Ausrichten der Schneidezähne begonnen.
Die Zahnbogenmitte wurde eingestellt, die oberen Eckzähne eingeordnet und nach Einbeziehung des unteren Zahnbogens der offene Biß beseitigt.
Ende der aktiven Behandlungsphase
(nach 2 Jahren und 4 Monaten)
Mundfotos vorher-nachher im direkten Vergleich


