Fallbeispiel 1
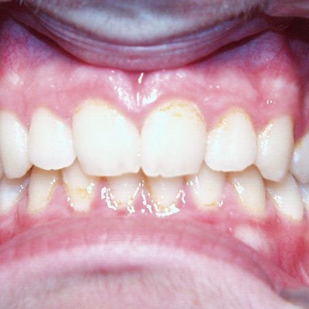
Bei diesem Patienten standen die oberen Schneidezähne weit vor. Um obere und untere Schneidezähne in Kontakt zu bringen, wurde noch im Wechselgebiß mit einer herausnehmbaren Zahnspange (Bionator) begonnen, die auf Oberkiefer und Unterkiefer gleichzeitig einwirkt. Der Biß ist so eingestellt, daß die Spange den Unterkiefer nach vorne und auch etwas nach unten verlagert. Die Seitenzähne werden so freigeschliffen, daß sie aufeinander zuwachsen können. Dadurch stehen sie nach erfolgreicher Bißumstellung auch wieder in Kontakt und die Schneidezähne überlappen sich nicht mehr so stark vertikal. Von vorne ist dann mehr von den unteren Schneidezähnen sichtbar. Gleichzeitig verringert sich das Ausmaß, in dem die oberen Schneidezähne vorstehen, und die Seitenzähne passen besser aufeinander. Wenn wie in diesem Beispiel die oberen Schneidezähne sehr weit vorstehen, kann die Spange für einige Monate um einen Außenbogen erweitert werden; durch den nach hinten gerichteten Zug verstärkt sich die Wirkung auf den Oberkiefer und die Zahnstellung verbessert sich schneller.
Vor der Behandlung
Bionator / Bionator eingesetzt
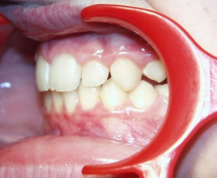
Während der Behandlung
(Nach 6 Monaten Behandlungsdauer)
Die oberen Schneidezähne stehen schon deutlich weniger vor, es sind schon mehr bleibende Zähne da, die Seitenzähne passen aber noch nicht genau aufeinander.
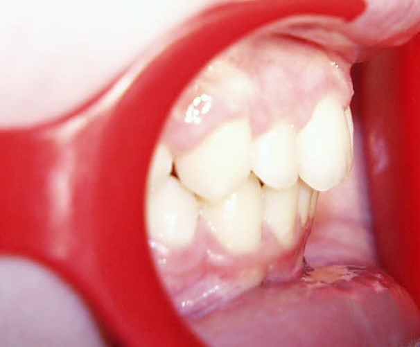
Nach der Behandlung
(nach 14 Monaten)
Der Zahnwechsel ist jetzt fast vollständig abgeschlossen, die Schneidezahnstufe ist horizontal wie vertikal normalisiert und die Seitenzähne stehen gut aufeinander. Die Entwicklung war so günstig, daß auf eine festsitzende Zahnspange verzichtet wurde.
Gute Stabilität nach 3 Jahren
Äußerlicher Befund
Ansprechendes Lippenbild.

